硬膜から発生する腫瘍で,女性に多く発生し,胸椎に発生することが多いです.極度に大きくない限り脊髄を傷めることなく摘出することが可能です.硬膜を含めて摘出すれば再発することはありませんが,硬膜が摘出できない場合には,発生場所の硬膜を電気凝固して再発が起こりにくくします.
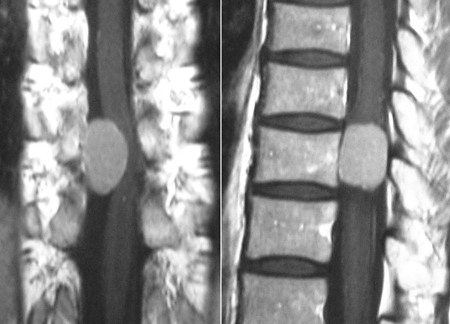
下のMRI画像は胸椎に発生した髄膜腫です.卵円形の腫瘍が造影剤により白く描出されています.左図が前後からみたところ,右図が横からみたところです.脊髄の前方に発生していない限り,比較的容易に摘出できます.

手術で硬膜を開けると,やや赤みを帯びた腫瘍が脊髄を圧迫しているのが認められました.

